咬合力の負担過重による無数のひび割れ
2013.03.18更新
咬合力の負担過重による無数のひび割れ
下顎の前歯です。
表面に無数のひび割れが見えます。
原因は奥歯の欠損を放置していたためです。
前歯で咬合の負担を受け止めていました。
咀嚼も前歯です。

臼歯の負担を前歯で補うも限度があります。
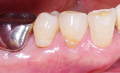
これからの人生を考えた場合は奥歯の修復が絶対不可欠です。
奥歯を修復しなければ前歯まで失う事になります。
総義歯になるとかなり不便を感じることになります。
実際のところ総義歯では思うように咬めません。
食事の制限(咀嚼不可能な食材)が生じます。

投稿者:





















