美しい歯並びを望むのに年齢は関係ない
2013.02.04更新
美しい歯並びを望むのに年齢は関係ない
40歳を過ぎた女性です。
幼い頃から下顎前歯の歯並びがずっと気になっていました。
人生にゆとり、生活に余裕ができた今、歯並びを治す事に
しました。

今更などという事ではなく。
これからの長い人生に変化をもたらしてくれると信じています。
きれいな美しい歯並びで新しい人生のスタートです。



投稿者:
2013.02.04更新
美しい歯並びを望むのに年齢は関係ない
40歳を過ぎた女性です。
幼い頃から下顎前歯の歯並びがずっと気になっていました。
人生にゆとり、生活に余裕ができた今、歯並びを治す事に
しました。

今更などという事ではなく。
これからの長い人生に変化をもたらしてくれると信じています。
きれいな美しい歯並びで新しい人生のスタートです。



投稿者:
2013.01.26更新
舌癖による前歯の離開
前歯が気になって舌を使って裏側から無意識に押していました。
弱い力でも持続的に作用する事により歯は移動します。
1日数分間でも繰り返し歯を押す力が作用すると移動します。
歯並びを治す矯正治療はその原理を応用しています。

すき間ができると余計に気になってさらに押しているみたいです。
この習慣を是正しない限り、益々すき間は広がっていきます。
自分では舌で押している感覚や意識は全くないのです。
その事を指摘して初めて意識し始めます。

投稿者:
2013.01.25更新
左上側切歯の叢生 その2
その1では前方から見た状態です。
その2はかみ合わせの方向(下から上方に)から見ています。

理想的な位置にきれいに並んでいます。

投稿者:
2013.01.23更新
左上側切歯の叢生
左上側切歯(真ん中から二番目の歯)が凸凹しています。
右側は正常なかみ合わせです。
左右対称にきれいな歯並びにしましょう。

歯にボタンを付けてワイヤーの弾力を利用して矯正力を加えます。

左右対称的にきれいな歯並びになりました。

投稿者:
2013.01.21更新
左上の犬歯が生えて来ない
左上の犬歯が生えて来ません。
萌出スペースが不足しているためです。
右上の犬歯は萌出していますがスペース不足のため捻転しています。
窮屈そうです。

歯列弓全体を拡大していきます。
一見して凸凹な不自然な感じではなく、自然な弧(湾曲)に整えます。
スペースのある弧を確保すると、その中に歯は整然と生えてきます。

投稿者:
2013.01.11更新
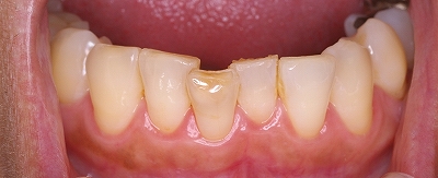
下顎歯列の凸凹の矯正治療
下顎の全体です。
前歯や小臼歯が歯列弓の中に納まりきれない状態です。
前歯の歯並びのバランスを考えるとスペースがどうしても足りません。
きれいに並びきれないので前歯一本をやむを得ず抜歯しました。

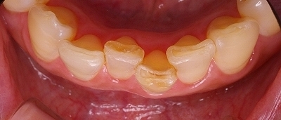
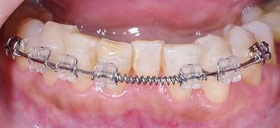
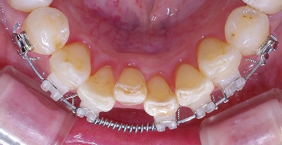
歯列全体にワイヤーをかけて矯正力をかけます。
少しずつゆっくりと歯列弓を拡大していきます。

小臼歯の並ぶスペースが確保できてきました。

矯正治療で歯並びが良くなる事は審美的な改善だけではなく歯周病や虫歯になるリスクを軽減します。
凸凹があるとプラーク(汚れ)が凹の部分に停滞しやすいのです。
歯ブラシが届きにくいのできれいに磨くのが困難です。
歯並びが整いました。
これなら歯ブラシが届きやすいのできれいに磨けます。

投稿者:
2013.01.09更新
左上前歯が奥に入っているかみ合わせ
左上の前歯 一本だけが内側に入り込んでいます。
この歯一本のために全体のバランスが崩れてしまいます。

上下の正中(真ん中)が左にずれています。

歯列弓を拡大します。
スペースを確保して奥まった歯を正常な位置へ矯正します。

投稿者:
2012.12.17更新
小臼歯を正しい位置へ誘導
小臼歯の生えてくる方向がはっきりしません。
着脱式の矯正装置で方向を導きます。
ワイヤーの矯正力で正しい方向に生えてきます。

数か月後には上下の小臼歯がしっかりとかみ合ってきます。
萌出する力を利用して矯正しますので無理なく自然な感じの歯列になります。

投稿者: